Instant Download
Your unique download link appears right after you complete your purchase, and is also sent instantly to the email address you provided.
Couldn't load pickup availability
Your unique download link appears right after you complete your purchase, and is also sent instantly to the email address you provided.
By Edward P. Allen
duration: 5 h 40 min
1 professor
discount 96%%
$481 savings
<div class="course-lessons">
<p>Lesson 1: Soft Tissue Ridge Augmentation with Papilla Elevation</p>
<hr>
<p>Lesson 2: Soft Tissue Ridge Augmentation with Esthetic Crown Lengthening</p>
<hr>
<p>Lesson 3: Esthetic Crown Lengthening</p>
<hr>
<p>Lesson 4: Esthetic Crown Lengthening By Apically Positioned Flap</p>
<hr>
<p>Lesson 5: Allogenic Block Graft at Site of Tooth Lost to Endodontic Failure</p>
<hr>
<p>Lesson 6: Allogenic Block and Particulate Bone Grafting to Augment Bilateral Congenitally Missing Maxillary Lateral Incisor Defects</p>
<hr>
<p>Lesson 7: Lateral Ridge Augmentation with SonicWeld Rx Resorbable Rigid Membranes</p>
<hr>
<p>Lesson 8: Palatal Pedicle CTG Combined with Tunnel Technique for Implant Site Development</p>
</div>
instant access right after payment
access is not limited in time

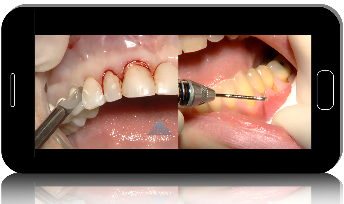
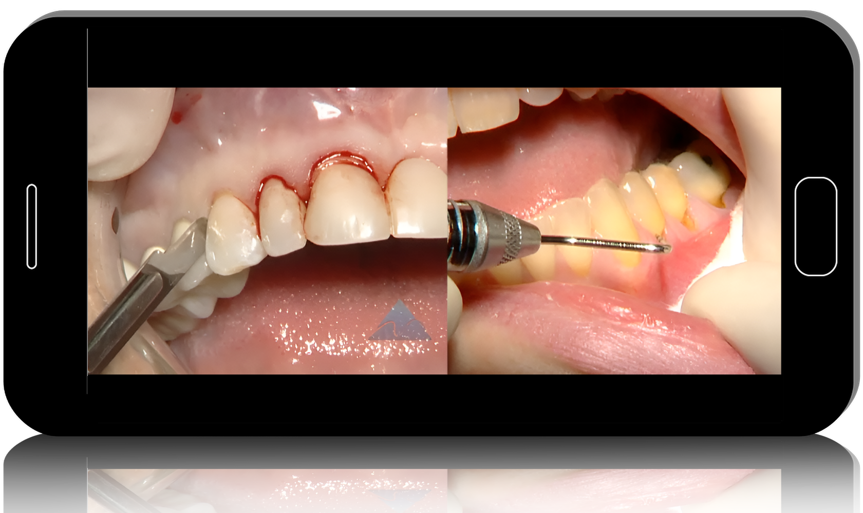
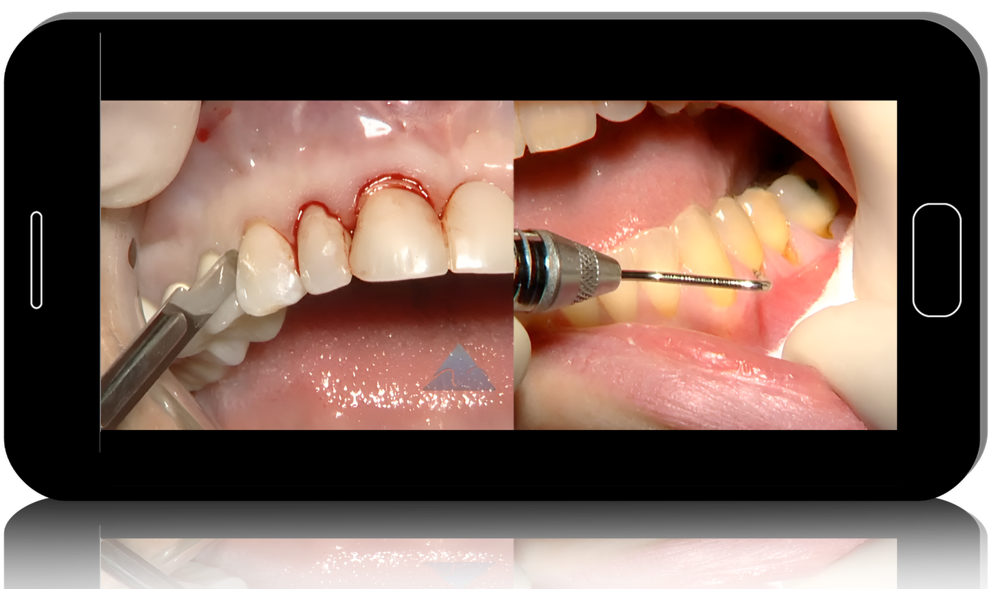
This advanced surgical course provides a complete roadmap for achieving predictable results in both soft and hard tissue augmentation and esthetic crown lengthening. Through real clinical cases and high-definition surgical videos, you’ll learn how to manage complex ridge defects, perform papilla preservation techniques, handle allogenic grafts, and optimize esthetic outcomes around implants and natural teeth.Gain the confidence to design, execute, and maintain tissue stability and harmony in the most demanding restorative and implant situations.
<div class="course-lessons">
<p>Lesson 1: Soft Tissue Ridge Augmentation with Papilla Elevation</p>
<hr>
<p>Lesson 2: Soft Tissue Ridge Augmentation with Esthetic Crown Lengthening</p>
<hr>
<p>Lesson 3: Esthetic Crown Lengthening</p>
<hr>
<p>Lesson 4: Esthetic Crown Lengthening By Apically Positioned Flap</p>
<hr>
<p>Lesson 5: Allogenic Block Graft at Site of Tooth Lost to Endodontic Failure</p>
<hr>
<p>Lesson 6: Allogenic Block and Particulate Bone Grafting to Augment Bilateral Congenitally Missing Maxillary Lateral Incisor Defects</p>
<hr>
<p>Lesson 7: Lateral Ridge Augmentation with SonicWeld Rx Resorbable Rigid Membranes</p>
<hr>
<p>Lesson 8: Palatal Pedicle CTG Combined with Tunnel Technique for Implant Site Development</p>
</div>